Τα συμπτώματα που αντιλαμβάνονται οι ασθενείς όταν έχουν επιαμφιβληστροειδική μεμβράνη είναι η θολή όραση, καθώς παρατηρείται αργή, αλλά προοδευτική μείωση της οπτικής οξύτητας, με αποτέλεσμα το διάβασμα να γίνεται δυσκολότερο.
Οι ευθείες γραμμές μπορεί να φαίνονται κυματιστές, ενώ σε προχωρημένες καταστάσεις παρατηρείται σημαντική απώλεια της κεντρικής όρασης. Η περιφερική όραση δε φαίνεται να επηρεάζεται από τη νόσο.
Η διάγνωση της επιαμφιβληστροειδικής μεμβράνης στο ιστορικό του ασθενούς και στη βυθοσκόπηση. Η μέτρηση της οπτικής οξύτητας είναι σημαντική, όπως επίσης και η χρήση του πίνακα Amsler, οποίος μπορεί να μας δώσει χρήσιμες πληροφορίες για το μέγεθος του προβλήματος.
Συγκεκριμένα, αποτελείται από ένα πλέγμα, το οποίο αποτελείται από κάθετες και οριζόντιες γραμμές με μια τελεία στο κέντρο (Εικόνα 2α).
![]() |
![]() |
Εικόνα 2: Φυσιολογικό (αριστερά) και παθολογικό (δεξιά) πλέγμα Amsler.
Το φόντο του πλέγματος μπορεί να είναι λευκό ή μαύρο. Παρατηρώντας μονόφθαλμα και εστιάζοντας στην κεντρική τελεία, ο ασθενής μπορεί να παρατηρήσει τις γραμμές κυμματιστές, θολές ή ακόμη και περιοχές του πίνακα που λείπουν (Εικόνα 2β).
Το ωχρικό οίδημα μπορεί να ανιχνευθεί με φλουοροαγγειογραφία, όπου μέσω ενδοφλέβιας έγχυσης χρωστικής και φως συγκεκριμένου μήκους κύματος λαμβάνονται φωτογραφίες που απεικονίζουν το μέγεθος της βλάβης στον αμφιβληστροειδή.
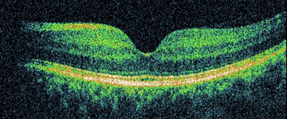
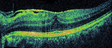
Η οπτική τομογραφία συνοχής (OCT) αποτελεί μια διαγνωστική εξέταση, η οποία δίνει κατευθυντήριες γραμμές για τη θεραπεία.
|
|
Εικόνα 3: Φυσιολογική εικόνα OCT αριστερά και με επιαμφιβληστροειδική μεμβράνη δεξιά.
Η αξιολόγηση της κάθε σάρωσης έχει υψηλή ευαισθησία έτσι ώστε να επιτρέπει την ανίχνευση ήπιων-ασυμπτωματικών αλλαγών, δίνοντας πληροφορίες για την πρόγνωση της νόσου.


